19 Mm Follicle Ovulation

I had an immature follicle with a mature egg.
19 mm follicle ovulation. It would seem more likely that. As follicles grow 1 7 mm per day follicle sizes presented in this study would be expected to be 3 4 mm smaller than comparable studies assessing follicular sizes on the day of oocyte retrieval 1 24. Follicles with an antrum are referred to as antral follicles and measure between 2 and 10 mm in diameter. Follicles are fluid and whether there is a mature egg or not in there the dr couldn t even tell you based on ultrasounds.
By day 10 the follicle should be anywhere between 16 and 25 mm in size. Thicker endometrial lining led to a higher probability of pregnancy. It may grow very quickly. During this time the follicle gains a fluid filled cavity known as the antrum.
She said i will be ovulating this weekend. One of those stages is the tertiary stage. The ideal size of the follicle would be above 19 mm. For some perspective an antrum follicle that is now 5 mm is 200 times bigger than it was as a primordial follicle.
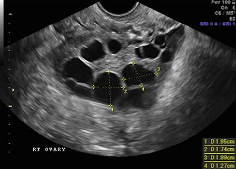
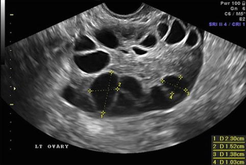
We determine that follicles of 12 19 mm on the day of trigger administration had the greatest contribution to the number of oocytes. This will have a successful ovulation. 15 10 mm and 10 9 mm and right ovary has multiple small follicles with no dominat follicle. Each additional millimeter of endometrial thickness increased the optimal follicular size by 0 5 mm.
There are so so many women triggering with a 20 mm follicle and fuss about not being pregnant. For post weaned sows the onset of estrus ovulation interval observed in this study is less than in previous reports in which ovulation occurred at 35 8 h after estrus 12 or at an interval of 39 12 4 h from the onset of estrus until ovulation. It just needs to get a little. Woman told me one follice at 20 i think i have 7 in total strong one on left i believe.
The enlargement of the 3 to 5 mm follicle pool could be due to the atretic follicles since the number of 6 to 7 mm follicles decreased. It will then grow 2 to 3 mm in size each day. 15 11 mm and 9 10 mm follicles and right has same. Follicle sizes don t determine whether the egg is mature or not.
Hello everyone i am new to all of this. When ovulation begins the follicle takes on a rapid growth spurt and begins protruding from within the ovarian cortex. The day between 1 to 5 the ideal follicle size would be more than 10 mm to have successful ovulation. I am to go tomorrow again for us and bw.
Just prior to ovulation process the follicle should be between 17 and 27 mm in size. Had us and bw today. I am in second cycle with my dr. And it does not need to get to 19.
That is appropriate for the time in your cycle. My day 14 normal or average ovulation usually would be monday the 9th. In the days preceding ovulation follicles usually grow approximately 1.